脳画像を読めるようになると、日々の看護ケアに役立ちます。全身管理や日常生活援助への活かし方、脳疾患をCT・MRIを見る理由についてわかりやすく解説しています。
脳神経疾患で全身管理が必要となる時期は?
脳神経疾患患者の管理を行ううえで、特に全身状態の管理が必要になってくる時期が「発症~急性期」です。
このとき最も注意したい点は頭蓋内圧亢進による脳ヘルニアであり、死に至ってしまう危険性があり、脳ヘルニアの部位によっては救命できたとしても重篤な後遺症が残ったりします。特に急性発症では、急激な病変の出現に伴い周囲の脳組織が浮腫性の変化を認めるため、さらに頭蓋内圧の亢進を助長させます。
よって突然の意識障害やバイタルサインの急激な変化、瞳孔の異常所見、麻痺などの神経症状が出現した際は、全身状態の観察や気道確保、循環動態の管理などの必要な処置を行い、他の原因疾患の鑑別を行うとともに、迅速に“画像による評価”で疾患を特定していく必要があります。
脳画像を読めると看護にどう役立つ?
このとき、脳の画像をナースが見ることができると「全身状態を管理するうえで危険を予測する」ことや、「日常生活ケアを行ううえで患者さんに適した援助を計画する」ことができるようになります。以下にその具体例を示します。
①血圧管理が適切かどうかが検証できる
脳梗塞急性期では、頭蓋内の脳血流を一定に保つ自動調節能が破綻することで、血圧の低下に伴い脳血流量が低下し、虚血状態に陥りやすくなります。
逆に出血性病変の場合、血圧が高いと再出血の危険性が高くなります。特に未処置のくも膜下出血では、降圧・鎮静・鎮痛を行い、再出血を起こさないよう注意を払う必要があります。
このとき、血圧の管理などが疾患によって異なってくるため、“血圧を下げればよい”という判断ではなく、画像や検査所見から疾患を特定し、適切な血圧管理も含めた全身状態の管理が必要になってきます。
②麻痺の進行・改善を評価できる
同様に、麻痺などの症状から、麻痺の程度が進行したのか改善したのか判断することも大切ですが、同じ半身麻痺でも、前頭葉の運動野だけでなく錐体路の障害で起こるため、症状だけでは部位の細かい特定は困難です。付随する症状も含め症状が進行したかどうか判断が必要になるため、画像を確認することが重要になります。
特に急性期は意識障害を伴うこともあり、症状からの適切な評価が困難なことがあります。画像所見と、血管の支配領域、機能局在から判断して、どのような症状が起こりうるのか視野に入れて観察することも必要です。
③症状の変化を予測してケアに活かせる
麻痺など“今ある症状”にだけ目を向けて看護を行い、できないことに対して手を差し伸べて看護をしていては、患者さんの自立した生活は遠のいてしまいます。
画像所見から脳の機能局在と照らし合わせ、患者さんの変化に少しでも気づき対処していくことが大切です。
④起こりうるリスクに対処できる
病変によっては運動麻痺や言語障害だけではなく、嚥下障害などのさまざまな障害を起こします。
●四肢の運動麻痺がなく、意識清明だから食事摂取は可能”と判断し、誤嚥してから嚥下障害に気づく
●運動麻痺がないから1人で歩ける”と判断し、転倒転落の事故を起こしてしまってから障害に気づく
のではなく、画像所見から予測し、身体所見のアセスメント、適切なスクリーニング評価を行うことで、「起こりうるリスク」に気づき、対処できるようになります。
●頭部打撲後に嘔吐がある場合の頭部CT画像を見るポイント
外傷性くも膜下出血や脳挫傷を疑った場合の画像検査について解説しています。
脳の疾患をCT、MRIで見る理由は?
突然に脳神経系の症状が出た場合はどうする?
患者さんに「突然、右半身に運動麻痺が出て、言葉が出てこない」などの症状が現れたときに、私たちはまず、「頭に何かしらの異常が出たのでは?」と考えると思います。
その際、バイタルサインや麻痺の程度、瞳孔の大きさなどを観察すると思います。さらに、脳神経系病棟の看護師であれば、“右上下肢の麻痺+失語”といった症状から、左脳になんらかの病巣があり、さまざまな症状や既往歴から、脳卒中(脳梗塞、脳出血、くも膜下出血)ではないかと予測できるかもしれません。
しかしながらこれらはあくまでも“予測”であり、脳梗塞なのか脳出血なのか、そもそも本当に脳卒中なのかは、画像撮影をしないと判断できません。
緊急時にCTを撮る理由は?

●病巣・範囲を確認するため
●疾患を特定するため
●頭蓋内圧亢進の状態を確認するため
CTでおおまかな異変をつかむ
通常、緊急時の画像撮影はCT(コンピュータ断層撮影)が選択されます。
なぜ緊急時にCTを撮影するのかというと、CTでは検査前に「妊娠の有無」以外に確認が必要な項目がなく、迅速に検査を受けることができ、検査自体も数分で終了するためです。
また、脳卒中や頭部外傷など、緊急に対処しなければいけない疾患の評価や頭蓋内圧亢進の有無なども把握できます。さらに、画像所見と全身状態から、外科的治療、保存的治療の判断、原因検索のためにほかにどの検査が必要か、悪化させないための血圧管理や鎮静の必要性などの判断にもつながります。
CTで医師が見ているポイント
画像診断の重要なポイントとしては、疾患の特定だけでなく、どこに病巣があるか、その程度に関しても確認を行います。
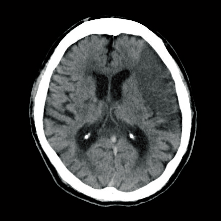
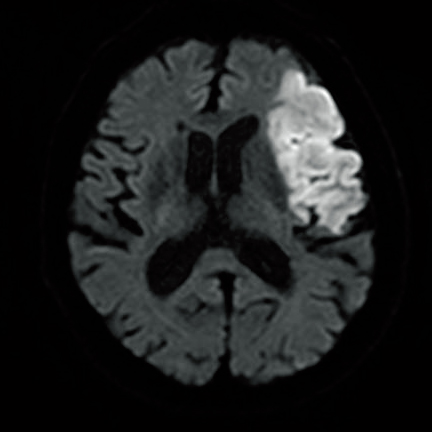
例えば、患者さんに突然の半身の運動麻痺が出現した場合や頭部外傷後意識障害を伴った場合、画像所見で「高吸収域(脳出血やくも膜下出血などの出血性病変の有無)」、もしくは「低吸収域(脳梗塞などの虚血性病変の有無)」があるかどうかによって疾患を特定し、病変の範囲や頭蓋内圧亢進を起こしていないかも判断します。
さらに麻痺の症状と画像所見が一致しているか、他の随伴症状がないかも確認します。
そして、何らかの疾患があった場合に、MRIを撮影するなどして原因の検索を行います。
●医師が画像検査をオーダーする目的は?
ドクターが画像を見るポイントを紹介しています。
MRIを撮る理由は?

●MRIにより、詳細な原因検索を行うため
次に原因検索のために、必要に応じてMRI(磁気共鳴画像)などが行われます。
MRIでは検査前に、「体内外の金属や貼付薬の確認」「適切な衣類の確認」「身長や体重の把握」などの確認事項が多くあります。またMRIは、CTに比べ時間(20~40分ほど)や費用的な負担もかかりますが、さまざまな撮影条件から詳細な疾患の特定につなげていくことができます。
さらにMRIでは撮影に造影剤(ガドリニウム造影剤)を用いることで、悪性や良性の脳腫瘍の判断や脳膿瘍などの詳細な評価が可能になります(ただし、CTでもヨード造影剤を用いれば脳血管病変などの評価が行えるため、検査の目的によっては「造影CT」を行うこともあります)。
なお造影剤は、腎機能障害、喘息の既往のある患者、造影剤に対するアレルギーがある場合には注意が必要です。特に造影CTの場合、ビグアナイド系の糖尿病薬を内服している患者さんでは、造影剤との併用で乳酸アシドーシスを起こすことがあるため注意が必要です。
いずれにしても、抽出したい画像によってMRIかCTか、また造影剤使用の有無を判断します。
また、患者側の要因でどちらの画像検査を選択するかを判断することもあります。例えば、「閉所恐怖症や体内金属がある場合は、MRIはできないのでCTを実施する」「腎機能障害がある場合は、造影剤は使用しない」などを判断します。
脳疾患で登場するその他の画像検査
脳疾患は、基本的にCTやMRIを用いて画像診断を行っていきますが、さらに細かい確定診断やくわしい病態の判断をするために、“CTやMRI以外”の画像検査も行います。
脳神経外科領域で、CTやMRI以外のよく用いられる画像検査を表1に示します。
表1 CT・MRI以外の画像検査
脳血管造影
●動脈瘤などの脳血管疾患のより詳細な血管の状態を見ることができる
●動脈にカテーテルを挿入し造影剤を用いて撮影するため、身体への侵襲はCTやMRIに比べると強くなる
●脳血管造影は診断によってはそのまま血管内治療が可能
核医学検査(SPECT、PET)
●放射性同位元素を静脈より投与し、体内から放出される放射線を画像として取り込み、脳血流などの循環動態やエネルギー代謝動態を描出。その偏りの有無などから診断に役立てる
●SPECTは脳の循環動態を評価するのに適しており、脳血流障害、てんかんやアルツハイマー型認知症などの診断に用いられる
●PETは脳の代謝機能の評価に適しており、脳腫瘍の診断やパーキンソン病、脳血管疾患などの診断に役立てられる
頸動脈エコー
●頸動脈や椎骨動脈は、脳へ酸素やエネルギーを送る重要な役割をもつ。それらの血管に狭窄・閉塞がないか、脳梗塞の原因となるプラーク(粥腫)の有無や状態、血流速度などを評価する
(第1回)
- 1.曷川元 編:脳卒中急性期における看護ケアとリハビリテーション完全ガイド.慧文社,東京,2015.
2.波多野武人 編著:まるごと図解 ケアにつながる脳の見かた.照林社,東京,2016.曷川元,永谷悦子 監修:看護・リハビリに活かす脳神経ケアと早期離床ポケットマニュアル.丸善プラネット,東京,2009.
3.荒木信夫,高木誠,厚東篤生:脳卒中ビジュアルテキスト 第4版.医学書院,東京,
2015.
4.坂井建男,河田光博 監訳:プロメテウス解剖学アトラス 頭部/神経解剖.医学書院,東京,2019.
5.市川博雄:症状・経過観察に役立つ 脳卒中の画像のみかた.医学書院,東京,2014.
※この記事は『エキスパートナース』2017年2月号特集を再構成したものです。当サイト内の文章・画像等の内容の無断転載および複製等の行為を禁じます。


